

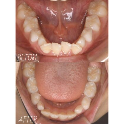
| 年齢 | 8歳 |
|---|---|
| 主訴 | 前歯のガタつきが気になる |
| 治療期間 | 9か月 |
| 治療内容 | 叢生の患者様。 インビザラインファーストでの矯正治療。 |
| 費用(概算) | 495,000円(税込) ※別途2カ月に1回 調整料5,500円(税込) |
| リスク・副作用など | ※矯正治療の一般的なリスクや副作用についてはこちら |


| 年齢 | 8歳 |
|---|---|
| 主訴 | 前歯のガタつきが気になる |
| 治療期間 | 9か月 |
| 治療内容 | 叢生の患者様。 インビザラインファーストでの矯正治療。 |
| 費用(概算) | 495,000円(税込) ※別途2カ月に1回 調整料5,500円(税込) |
| リスク・副作用など | ※矯正治療の一般的なリスクや副作用についてはこちら |