
お忙しい方にも通いやすい環境をご提供。ご都合に合わせてご来院いただけます。
ネット予約でスムーズな受付が可能。待ち時間を短縮し、効率的にご利用いただけます。
天神西通りアロハ歯科 小児・マウスピース矯正歯科クリニックでは、
一般的なむし歯や歯周病の治療に加え、
世界水準の資格を持つ歯科医師によるインプラント治療や歯列矯正など、
多岐にわたる歯科医療に対応しています。
患者さまの人生がより豊かで健康的であるよう、
生涯にわたってしっかりとサポートできる体制を整えています。

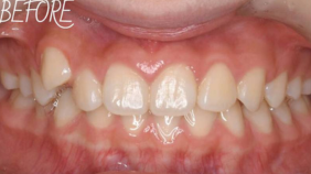
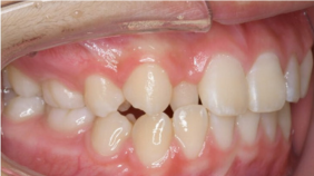
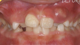
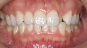
マウスピース矯正は透明で目立たず、取り外し可能なため、日常生活に支障をきたすことなく治療が可能です。
当院では、日本矯正歯科学会認定医が在籍しており、科学的根拠に基づいた的確な診断と治療計画のもと、お子さまから成人の方まで幅広い年齢層に対応した矯正治療を提供しております。

金属を使わず、天然歯のような透明感と白さを再現。見た目だけでなく、耐久性や安全性にも優れています。
歯の色味や形を自然に整えることで、より魅力的な笑顔を引き出します。自分らしい美しさを手に入れ、自信をもって笑えるようになります。

インプラント指導医および専門医が担当し、難症例にも対応が可能です。
患者さま一人ひとりの状態に合わせた精密な診断と、最新の技術を用いた治療を行っています。
さらに、歯科麻酔科医が常駐しているため痛みや不安を軽減し安心して治療を受けていただけます。
ICOI(国際インプラント学会)認定医
日本口腔インプラント学会 指導医、専門医