

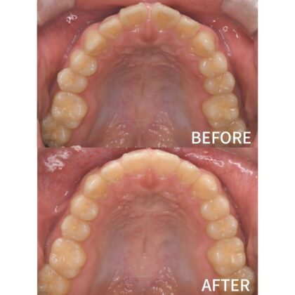
| 年齢 | 19歳 |
|---|---|
| 主訴 | すきっぱが気になる、前歯の裏の歯ぐきを噛んで痛い |
| 治療期間 | 9か月 |
| 治療内容 | 空隙歯列の患者様。 インビザラインでの矯正治療。 |
| 費用(概算) | 595,000円(税込) ※別途2カ月に1回 調整料5,500円(税込) |
| リスク・副作用など | ※矯正治療の一般的なリスクや副作用についてはこちら |


| 年齢 | 19歳 |
|---|---|
| 主訴 | すきっぱが気になる、前歯の裏の歯ぐきを噛んで痛い |
| 治療期間 | 9か月 |
| 治療内容 | 空隙歯列の患者様。 インビザラインでの矯正治療。 |
| 費用(概算) | 595,000円(税込) ※別途2カ月に1回 調整料5,500円(税込) |
| リスク・副作用など | ※矯正治療の一般的なリスクや副作用についてはこちら |