

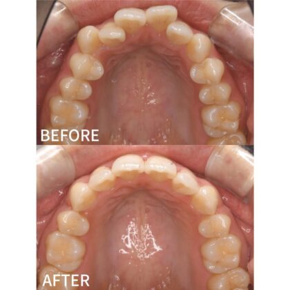
| 年齢 | 29歳 |
|---|---|
| 主訴 | ガタガタ、前歯が出ていることが気になる |
| 治療期間 | 1年7か月 |
| 治療内容 | 叢生、上顎前突の患者様。 インビザライン・マルチブラケット装置併用での矯正治療。 |
| 費用(概算) | 902,000円(税込) ※別途2カ月に1回 調整料5,500円(税込) |
| リスク・副作用など | ※矯正治療の一般的なリスクや副作用についてはこちら |


| 年齢 | 29歳 |
|---|---|
| 主訴 | ガタガタ、前歯が出ていることが気になる |
| 治療期間 | 1年7か月 |
| 治療内容 | 叢生、上顎前突の患者様。 インビザライン・マルチブラケット装置併用での矯正治療。 |
| 費用(概算) | 902,000円(税込) ※別途2カ月に1回 調整料5,500円(税込) |
| リスク・副作用など | ※矯正治療の一般的なリスクや副作用についてはこちら |