

| 年齢 | 8歳 |
|---|---|
| 主訴 | 前歯が裏側から生えてきた |
| 治療期間 | 6か月 |
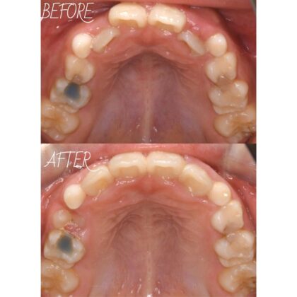
| 治療内容 | こちらの患者様は”叢生”と呼ばれる不正咬合のお子さまです。 SMA(シェイプメモリーアライナー)での矯正治療を行いました。 |
| 費用(概算) | 517,000円(税込) ※別途2カ月に1回 調整料5,500円(税込) |
| リスク・副作用など | ※矯正治療の一般的なリスクや副作用についてはこちら |


| 年齢 | 8歳 |
|---|---|
| 主訴 | 前歯が裏側から生えてきた |
| 治療期間 | 6か月 |
| 治療内容 | こちらの患者様は”叢生”と呼ばれる不正咬合のお子さまです。 SMA(シェイプメモリーアライナー)での矯正治療を行いました。 |
| 費用(概算) | 517,000円(税込) ※別途2カ月に1回 調整料5,500円(税込) |
| リスク・副作用など | ※矯正治療の一般的なリスクや副作用についてはこちら |